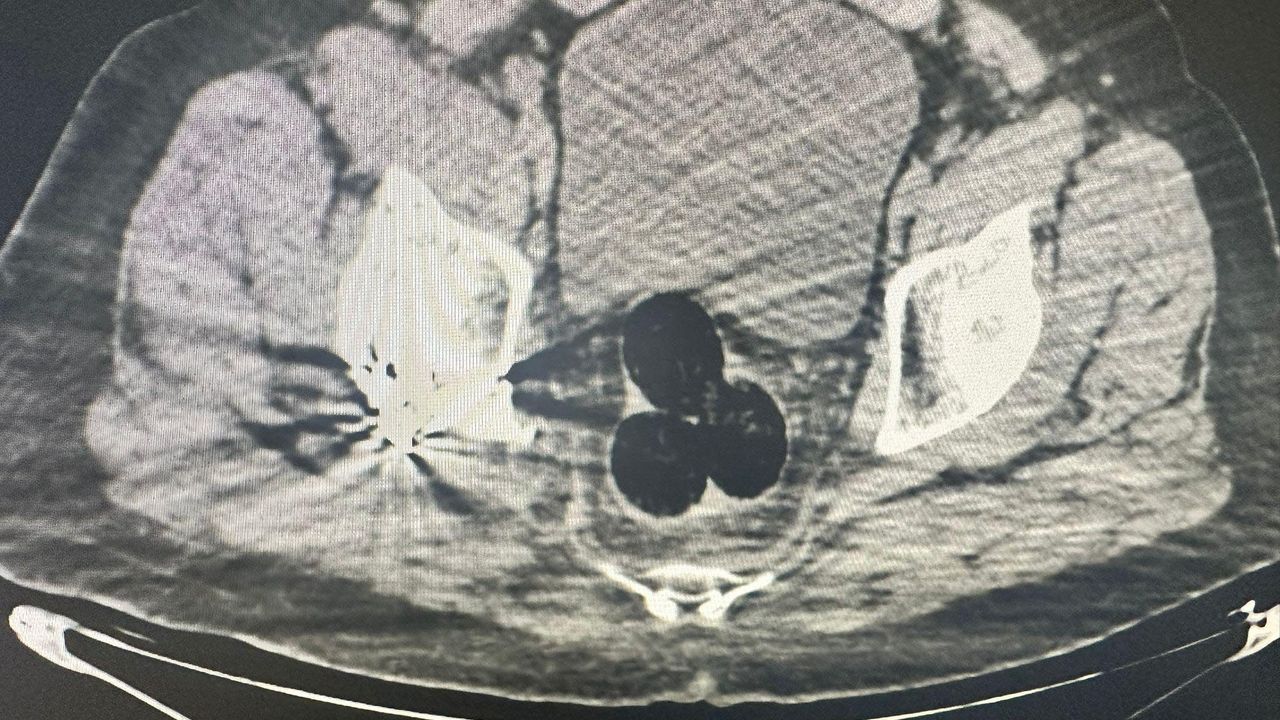
Iğdır Emniyet Müdürlüğü Narkotik Suçlarla Mücadele Şube Müdürlüğü ekiplerince, İran'dan ülkeye giren bir kişi, şüphe üzerine hastaneye götürüldü. Burada yapılan radyolojik görüntülemede şüphelinin makatında 3 parça halinde yabancı cisim saptandı. Hastanede yapılan operasyonla çıkarılan 3 pakette 130 gram metamfetamin ele geçirildi. Şüpheli gözaltına alındı, soruşturma kapsamında polis, bu kişiyle bağlantılı olduğu ve aldıkları uyuşturucuyu Iğdır'da kullanıcılara sattığı tespit edilen 2 şüpheliyi daha yakaladı. 47 gram daha metamfetamin ele geçirirken şüpheliler, emniyetteki işlemlerinin ardından sevk edildikleri adliyede çıkarıldıkları mahkemede tutuklandı.
Özkan AYDIN/IĞDIR, (DHA)-





