Güncel
Ekonomi
Yazarlar
Yaşam
Spor
Resmi İlanlar
Ankara
Adana
Adıyaman
Afyonkarahisar
Ağrı
Aksaray
Amasya
Ankara
Antalya
Ardahan
Artvin
Aydın
Balıkesir
Bartın
Batman
Bayburt
Bilecik
Bingöl
Bitlis
Bolu
Burdur
Bursa
Çanakkale
Çankırı
Çorum
Denizli
Diyarbakır
Düzce
Edirne
Elazığ
Erzincan
Erzurum
Eskişehir
Gaziantep
Giresun
Gümüşhane
Hakkâri
Hatay
Iğdır
Isparta
İstanbul
İzmir
Kahramanmaraş
Karabük
Karaman
Kars
Kastamonu
Kayseri
Kilis
Kırıkkale
Kırklareli
Kırşehir
Kocaeli
Konya
Kütahya
Malatya
Manisa
Mardin
Mersin
Muğla
Muş
Nevşehir
Niğde
Ordu
Osmaniye
Rize
Sakarya
Samsun
Şanlıurfa
Siirt
Sinop
Sivas
Şırnak
Tekirdağ
Tokat
Trabzon
Tunceli
Uşak
Van
Yalova
Yozgat
Zonguldak
16
°
Nöbetçi Eczaneler
Hava Durumu
Namaz Vakitleri
Trafik Durumu
Süper Lig Puan Durumu ve Fikstür
Tüm Manşetler
Son Dakika Haberleri
Facebook
Twitter
Instagram
Youtube
Güncel
Ekonomi
Yazarlar
Yaşam
Spor
Resmi İlanlar
Ankara Haberleri
06:49
"Bu ülke çocuklarını koruyamıyor"
05:08
Serik'te rüşvet operasyonunu
04:14
Zonguldak'ta tarım aracı dereye düştü
04:02
Hakkari'de tipi dolayısıyla mahsur kalanlar kurtarıldı
04:01
Sındırgı sallanmaya devam ediyor!
03:39
Türkiye Yüzyılı Maarif Modeli ile Sezai Karakoç'u andı
03:09
Önce serbest kaldı sonra tutuklandı
03:05
Antalya'da depo yangını
03:02
Akraba aileler arasında kanlı kavga
03:02
Miçotakis Zelenskiy ile Atina'da görüştü
Iğdır
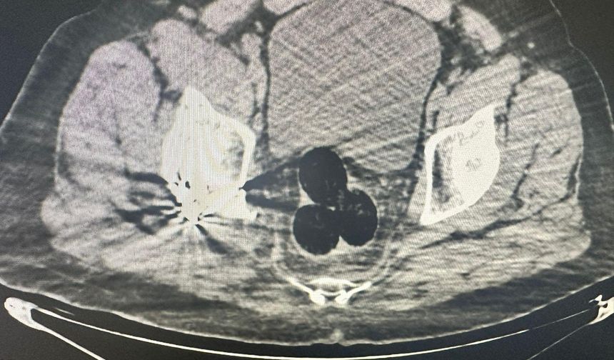
Radyolojik muayenede vücudunda 140 gram uyuşturucu çıkan şüpheli tutuklandı
Iğdır'da İş Kazası: 2 İşçi Yaralı
Kayıp Alzheimer Hastası, 114 Kişi ile Aranıyor
Hafif ticari aracın bagajından kaçak göçmenler çıktı
Uyuşturucuyu makatına saklamış
Traktörün römorkuna çarpan motosiklet sürücüsü yaşamını yitirdi
Balya makinesine kapılan çiftçi hayatın kaybetti
Ağrı Dağı'nda kar yağışı
Büyükelçi Kılıç, Ermenistan'da
Iğdır'da şap hastalığıyla mücadele
Zengezur Koridoru’nun en somut adımı atıldı!
Iğdır FK'ya Süper Lig'den takviye
Kavgayı ayırmak isteyen imama yumruklu saldırı
Kent ormanında kampanya! Çöpünü toplayan ücretsiz girecek!
Iğdır Son Dakika Güldü
Güvenlik
Iğdır'da hava basılan lastik patladı
Tüm Iğdır haberlerini göster
Üst
Ana Sayfa
Kategoriler
Foto Galeri
Video
Yazarlar
Röportaj
Biyografi
Anketler
Künye
İletişim
Servisler
Nöbetçi Eczaneler
Hava Durumu
Namaz Vakitleri
Trafik Durumu
Süper Lig Puan Durumu ve Fikstür
Tüm Manşetler
Son Dakika Haberleri
Haber Arşivi
Web sitemizden ayrılıyorsunuz
Bu bağlantı sizi
https://zafergazetesi.org
dışındaki bir siteye yönlendiriyor.